人工智能助力超声内镜:食管上皮下病变诊断的 “新利器”
  • 沈若霞 云南省肿瘤医院
  • 发布时间: 2025-08-01 12:12:57


在医学领域,人工智能(AI)技术正以前所未有的速度改变着疾病的诊断与治疗方式。中国医科大学附属盛京医院的郭瑾陶教授及其团队在内镜超声内镜(EUS)诊断和介入治疗方面深耕多年,团队聚焦于人工智能技术辅助超声内镜诊断。近期,其研究团队开发出基于AI技术的超声内镜诊断模型EUS - AI)。该模型在食管上皮下病变检出及识别病变起源层上展现出亮眼的诊断潜力。研究成果成功发表于国际权威杂志《Surgical Endoscopy》,为消化道上皮下病变(Subepithelial lesions, SEL)的诊断和治疗开辟了新的途径具有极其重要的临床意义和应用前景。


 18fa7509143115c4481c5cac1bce6669.png

 


一、食管的解剖

 

食管是一前后略扁的肌性管状器官,为消化管中相对较狭窄的部分,成人长约 25cm。 食管在解剖结构上具有独特的层次特征,从内向外依次为黏膜层、黏膜下层、固有肌层和外膜层。


51c52f5a36e5d07c100a310eb1da1555.jpeg


黏膜层包括上皮层、固有层和黏膜肌层,能够有效抵御食物摩擦和胃酸侵蚀;黏膜下层含有丰富的血管、淋巴管和神经丛,为黏膜层提供营养支持;固有肌层由内环行肌和外纵行肌构成,其规律的收缩与舒张可推动食管蠕动,保障食物顺畅输送到胃部;外膜层主要是由疏松结缔组织构成,起到保护和固定食管的作用不存在浆膜层。


 6c174513dde22e93dfc031e7c3c12c05.jpeg

 

超声内镜检查下,食管壁呈现出层结构的典型特征。从内向外依次是:第一层为高回声的黏膜浅层,即复层黏膜鳞状上皮;第二层为低回声的膜深层,包含膜肌和固有层;第三层为高回声的膜下层;第四层为低回声的固有肌层;第五层为高回声的外膜层。这种层次分明的超声表现,为超声内镜诊断食管病变提供了重要的解剖学依据。


 4b418c9574af60180a2de01c54758876.jpeg

 


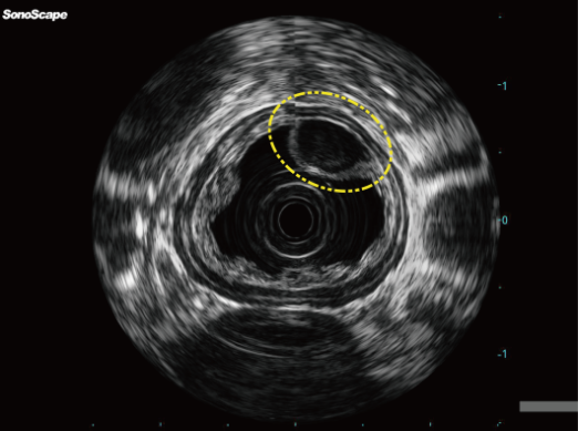
、食管上皮下病变:隐匿的健康隐患

 

食管上皮下病变是一类非常隐匿的消化道疾病。大多数为良性病变,仅少部分为恶性。常见的食管上皮下病变包括平滑肌瘤、间质瘤、颗粒细胞瘤、囊性病变和脂肪瘤等,其中平滑肌瘤是最常见的良性肿瘤。


这类病变大多在常规内镜检查中被识别,内镜下表现为食管壁局灶隆起,表面光滑、覆盖正常食管黏膜上皮。因病变位于食管上皮下,常规内镜无法准确评估病变性质及起源层次,故需要进一步完善超声内镜检查,精准判断病变性质及起源层次,从而为医生提供有力的诊疗手段,降低医疗风险。

 

30836a0c45f36bfa78d0262156d5e61c.png

195bf9db8d1435c8e97db89b1c379104.png

图:食管上皮下病变-食管平滑肌瘤

 



、超声内镜:内镜医生的“第三只眼”

 

超声内镜作为一种先进的诊断工具,将内镜技术与超声技术完美结合。通过超声内镜的超声扫查能够清晰地显示食管壁的五层结构及其内部病变的起源层次和回声特点。常规胃镜相比,超声内镜不仅可以观察病变的表面形态,还能深入探测病变的内部结构,帮助医生判断病变的性质和浸润深度。例如,对于食管癌等上皮起源的病变,超声内镜可以评估肿瘤的浸润深度,从而为治疗方案的选择提供重要依据。

 

然而,超声内镜的操作和诊断需要较高的技术水平和丰富的经验,这在一定程度上限制了其在基层医院的广泛应用。许多基层医院虽然配备了超声内镜设备,但由于缺乏熟练的操作人员和诊断经验,难以充分发挥其优势。此外,不同医师之间在超声检查结论上的一致性较差,这进一步影响了诊断的准确性和可靠性。

 


AI 技术:突破诊断瓶颈,提升一致性

 

为了克服这一难题,郭瑾陶教授及其团队开发基于AI技术的超声内镜诊断模型。该模型通过分析超声内镜静态图像,能够快速、准确地识别食管上皮下病变的起源层次和回声特点,从而为临床治疗提供重要参考。研究表明,EUS - AI模型的诊断准确性高于初级内镜医师,接近高年资超声内镜医师水平,尤其在识别病变起源层次方面表现出色。

 

f1d5fe9fa3a67c834edbefc461c14b67.png

图:AI模型和内镜医师诊断效能对比     


b1cd3ef1eaf858b5e4b536dbc9ae3cc8.png

图:AI模型和内镜医师识别起源层次准确效能对比

 


、助力基层医疗,优化分级诊疗


AI 技术的应用不仅提高了食管上皮下病变诊断的准确性和效率,还有效解决了不同地区、不同级别医师之间诊断结论一致性较的问题。AI 模型的诊断符合率较高,能够为各级医师提供统一的诊断标准和参考,从而显著提升诊断结论的一致性。这不仅有助于提高医疗质量,还能减少因诊断不一致而导致的患者困惑和医疗资源浪费。


基层医疗机构普遍存在人才短缺的问题,熟练掌握超声内镜技术的医师相对匮乏。AI 技术的引入为基层医师的培训提供了新的解决方案。通过AI模型的辅助,基层医师可以更快速地掌握超声内镜的诊断技术,缩短学习曲线,提高诊断能力。这不仅有助于提升基层医疗机构的诊疗水平,还能促进分级诊疗制度的落实,减少患者向上级医院的转诊率,优化医疗资源的分配,让更多患者在基层就能获得准确的诊断和治疗。


4c3cef27fdbe45cc181d0c6e6a9deb57.png

 

 

六、未来展望:整合视频数据,推动技术发展


目前,郭瑾陶教授团队的研究主要基于静态图像来构建AI模型,然而,实际的超声内镜检查是一个动态过程。未来,团队计划利用视频数据收集系统,收集并分析大量的动态超声内镜视频图像数据。通过这种方式,他们希望能够更精准地模拟临床实际操作场景,从而建立一个更加稳定、高效且准确的AI模型。这一举措有望进一步推动 AI 技术在超声内镜领域的应用和发展,使其更好地服务于临床实践。


 bcf66bbb18195be65d0a9f3b2ff91386.png

 


七、科普小贴士:消化道上皮下病变的检查方法


常规胃肠镜:作为初步筛查手段,可以发现消化道表面的隆起病变,但无法明确病变的深层结构。


超声内镜:通过超声探头对隆起病变进行详细扫查,能够明确病变的起源层次、回声特点和浸润深度,是诊断消化道上皮下病变的关键技术。


组织活检:通常不适用于消化道上皮下病变,因为病变起源于黏膜上皮下,难以通过普通黏膜活检获取病理组织。对于疑似恶性病变或需要明确病理性质的病例,可能需要进行内镜下切除后进行病理分析


944d8db65abfd0dff323d7d9dff114fa.jpeg






随着 AI 技术的不断发展和应用,超声内镜在消化道上皮下病变及其他消化道疾病的诊断和治疗中将发挥更大的作用。未来,我们有理由期待AI技术能够进一步优化医疗资源分配,提高疾病诊断的准确性和效率,为更多患者带来福音。

 


相关作品推荐
0.079923s