返回列表

左侧液气胸,创伤性假性肺囊肿

胸部(胸部、乳腺)
CT
星帆 提供
病例: DH2503190235
发布时间: 2025-03-19 12:35:52
分享至
病例信息
性别:男
年龄:42
主诉:外伤后胸部持续性胀痛
病例描述

外伤后胸部持续性胀痛,劳累后加重,休息后可稍缓解。

病例诊断结果
确诊时间:2025-03-19 12:36:00
病例分析
创伤性假性肺囊肿

创伤性肺假性囊肿指人体胸部遭受到创伤后,发生空腔性肺损伤状况,也可将其称为创伤后肺假性囊肿、创伤性肺囊肿、假性囊肿性血肿、空洞性肺损伤等;

目前认为创伤性假性肺囊肿是由于胸腔闭合性创伤引起肺组织撕裂,溢出的血液或者气体进入肺撕裂带内后,在肺组织弹性回缩力的作用下形成的各种不同形态和成分的囊肿。

因为囊肿壁在显微镜下观察主要为邻近肺残余而形成,细支气管及部分脏层胸膜所构成,不具有真性囊肿结构,故称为创伤性假性肺囊肿。


01
形成机制

目前暂不完全清楚创伤性假性肺囊肿疾病的病理机制, 大部分学者认为和以下三种机制存在关系:

  1. 胸壁突然受到钝性外力作用,胸壁发生变形,挤压到肺部,支气管树发生闭塞,引发支气管破裂,此压力从支气管树传至肺泡壁,导致肺泡壁发生破裂,进而引发疾病;

  2. 因胸部受力瞬间, 人体声门处于关闭状况,因受压,肺中气体无法排除,导致肺泡撕裂和小气道发生气囊肿;

  3. 胸部受到高速震荡冲击波, 剪应力远远超出肺组织弹力,肺组织撕裂时发生气囊肿。

    也有学者认为合并胸内高压后胸壁弹性回位出现负压也会造成肺组织发生撕裂,进而形成气囊肿。

以上不同的原因肺撕裂可使肺泡及肺间质撕裂,小支气管及小血管破裂出血,肺泡与血管的屏障遭受破坏,当血液或气体溢出进入到因肺组织弹性回缩力作用下形成的撕裂带中,就形成了不同类型的创伤性假性肺囊肿。

02
影像表现

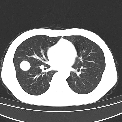
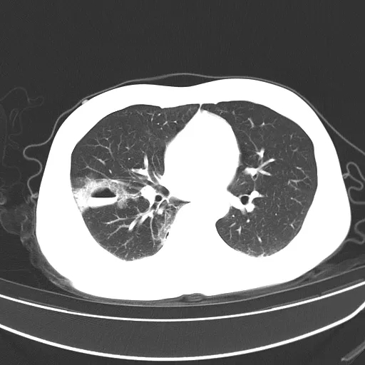
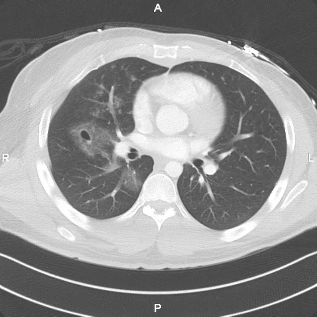
创伤性假性肺囊肿依据囊肿内血液及气体的多少分为 3 型:空腔型、囊肿型、气-液囊肿型(混合型);

单纯充满气体者称为空腔型;

3587a976830c68733d78ba4c6b7f4d72.jpg

囊内充满血液者称为囊肿型;

f058a99be695f0a8a701ad21b0338792.jpg

同时有气体和血液者称为混合型;

f020f06cec1226161c6ffadf6d4a7a55.jpg

创伤性假性肺囊肿多分布在肺野外周,可以伴骨折、肺挫伤、液气胸及纵隔、皮下气肿同时出现,囊肿内壁均匀、光滑,边缘多有斑片状渗出呈磨玻璃影或实变影改变,边界不清;短期内复查囊肿内密度容易变化,可以出现 3 种类型囊肿相互之间转化,但以空腔型转化为气液型囊肿或囊肿型转化为气液型囊肿较为多见

诊断创伤性假性肺囊肿需要有明确的外伤史此疾病多处于肺挫伤附近或中心,病变不稳定,短时间内病灶大小、形态均有明显改变。

所以,如果考虑创伤性假性肺囊肿的情况可以动态影像学复查。此疾病容易吸收,往往无需给予特殊性治疗。

病例词典
*该内容更新时间至:2025-03-19 12:36:00
我也想发布
点击此处, 发布病例