返回列表

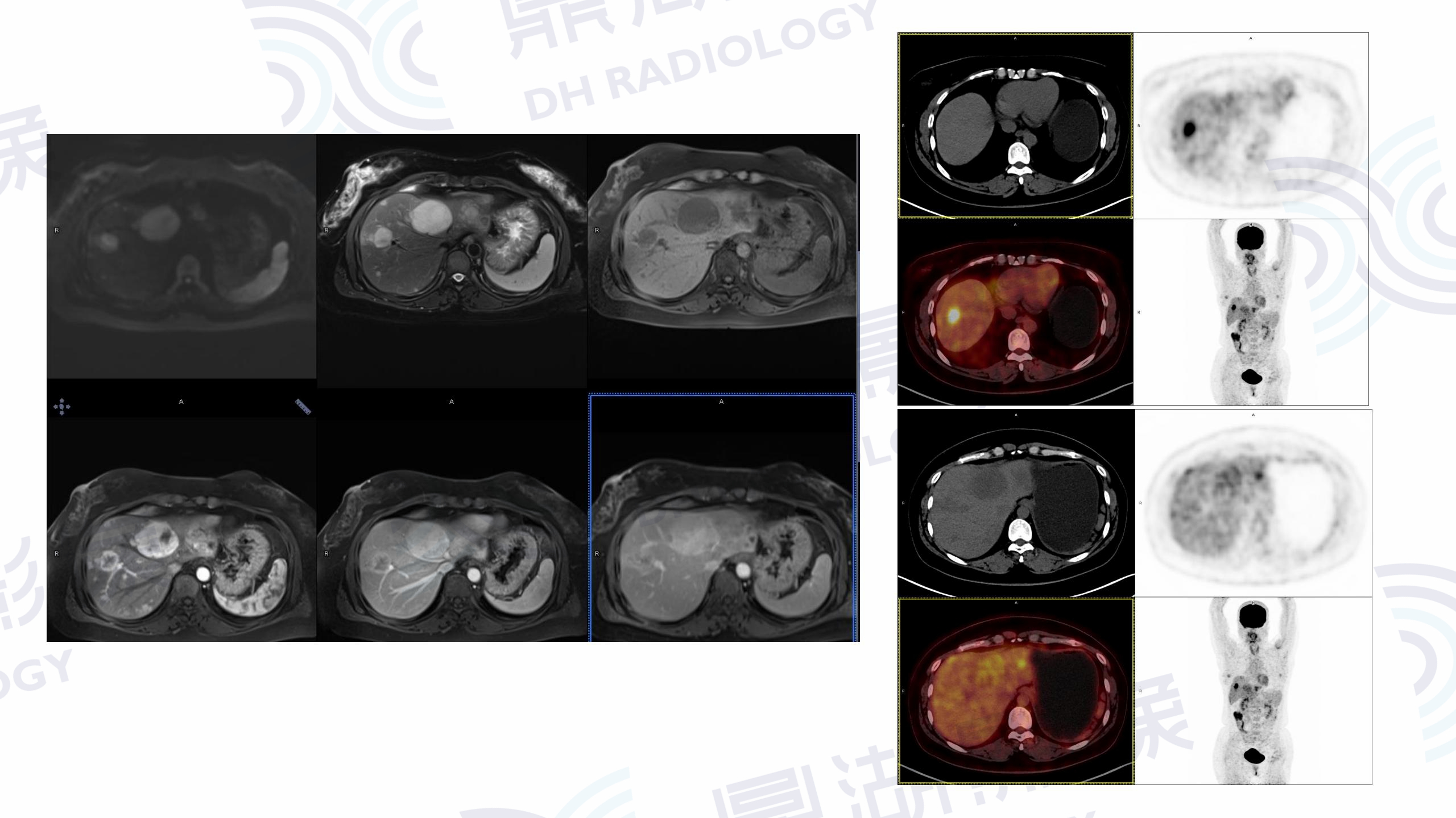
肝腺癌

腹部(消化、泌尿生殖)
PET
CT
杨涛 提供
病例: DH2501230211
发布时间: 2025-02-11 12:26:39
分享至
病例信息
性别:男
年龄:69
主诉:发现肝占位5天。
病例描述

体检B超发现肝占位,肿瘤标志物CA199:65.51U/ml。数年前因胃部癌前病变行黏膜剥脱术,否认慢性乙肝病史,无发热表现。

病例诊断结果
确诊时间:2025-02-11 12:26:39

2482c23b6cdb73e64dc8e5f339db3f26.jpg

病例分析


病例词典
*该内容更新时间至:2025-02-11 12:26:39
我也想发布
点击此处, 发布病例