返回列表

声门上lgG4相关疾病

头颈部
CT
PET
杨涛 提供
病例: DH2409200172
发布时间: 2025-01-12 15:10:13
分享至
病例信息
性别:女
年龄:23
主诉:咽部不适1周
病例描述

女  23岁  咽部不适1周,喉镜检查示咽部新生物,无疼痛发热等症。血常规实验室检查未见明显异常。本中心MR检查提示口咽恶性肿瘤,疑淋巴瘤可能,于本中心进一步行PET/CT检查。


MR增强检查提示:口咽左侧壁至左侧声门上不规则软组织肿块,病灶突入咽腔,信号均匀,T1WI呈等信号,T2W呈稍高信号,DWI呈高信号,增强扫描呈轻度均匀强化,左侧杓状会厌皱襞水肿,左侧梨状窝消失。


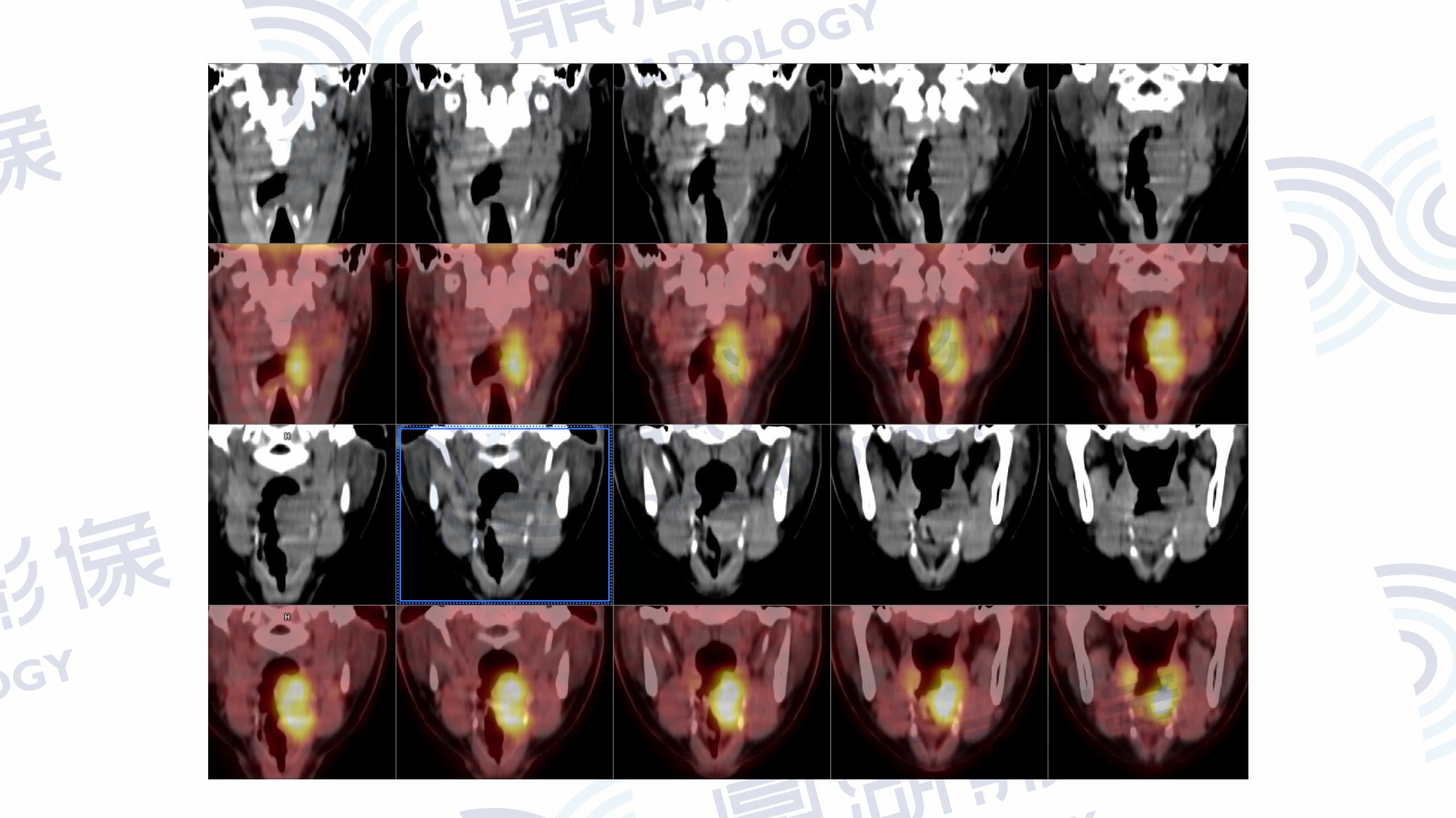
PET/CT提示:口咽左侧壁至左侧声门上软组织肿块,FDG摄取增高,SUVmax=13.1。

病例诊断结果
确诊时间:2025-01-12 15:10:13

口咽部活检病理为淋巴组织增生,IgG4浆细胞浸润阳性。


病例分析

9dff587b1d4ec23cdb888f2dded7d7fe.jpge6dcdc16d6e6938be8c7eb266de3828d.jpg

ed0d0b88bd576589aa36dcc1130789b9.jpg

0b1f1520d87959369da4bcc7d9a754f7.jpg

2b3bd9492011880efa432837bbd95d0d.jpg

2a3dea87a6241575b89e597a7b853f09.jpg

2187fa3e102a44b4e66bc9f83b6f9c4a.jpg

98f148d29ec6d48dfbbcb7bdcce8963c.jpg6cf7ff7f362e6150dec02ac5303d9380.jpg1b2ff5265d5b86a7c383e394f2d2e584.jpg

87bc0a86a162a333d31724a743c24c31.jpg4f4eda3551b43ad00d7dae4b80577a9c.jpg

028c505b365f732c365ed872a44c7eb3.jpg

9c9855a8a1f26b6fa3389c248944c3fe.jpg

4134f9f4b495dfc0185dd0ba9a455058.jpg

a0ff602ce9280e8bc0199ec3477bb660.jpg

b801f2d8877d55f555018beea9a5c315.jpg

aa6df203db6e105e6b01252a311b52c7.jpg

4d85422c10688af43e0e0d925737654b.jpg

7dcca0725016e93647ce841f1c0731ba.jpg

3eb6c4bf2e204f814afb02660f1974c9.jpg59cff63bf57b98d8dfae9862adaa24ee.jpg

874f5b477b96aefcf7c71367fb750540.jpg

病例词典
*该内容更新时间至:2025-01-12 15:10:13
我也想发布
点击此处, 发布病例