返回列表

毛细胞黏液样星形细胞瘤

中枢神经系统
MR
杨涛 提供
病例: DH2407240161
发布时间: 2024-08-19 17:40:39
分享至
病例信息
性别:男
年龄:6
主诉:视力下降1月,检查发现鞍区肿物3周
病例描述

视力下降1月,检查发现鞍区肿物3周,余无殊。

病例诊断结果
确诊时间:2024-08-19 17:40:39

患者全麻成功后,取仰卧位,头架固定,术野常规消毒铺巾。作冠状头皮切口,右额过中线骨瓣,开颅如常,骨窗前至眉弓,右侧达关键孔,额窦打开用骨蜡涂封。

止好血,硬膜悬吊于骨窗缘,马蹄形剪开硬膜翻向中线,经前纵裂入路,向外侧牵开右额脑组织,沿颇底从前到后逐步分离纵裂,暴露鞍区后见肿瘤组织呈灰白色,胶冻状,质地较软,边界不清,血供一般,与垂体柄关系密切,先瘤内分块切除肿瘤缩小其体积,然后沿肿瘤蛛网膜界面分离后再分块切除,肿瘤最终镜下大部切除。

双侧A2、前交通动脉、双侧视神经均暴露并保护完好。确切创面止血后,人工硬膜修补缝合硬膜,骨瓣复还钛帽钛钉连接片固定,头皮止血,缝合帽状腱膜、头皮。手术顺利,术中出血不多,未输血,术后安返 WICU 监护。

06e7657145437959301502d07fb2d30e.png

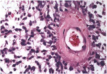
肿瘤细胞围绕血管生长是PMA的典型形态。

病理结果:毛细胞黏液样星形细胞瘤(Pilomyxoid astrocytoma,PMA)

病例分析
毛细胞黏液样星形细胞瘤
Pilomyxoid astrocytoma,PMA

毛细胞星形细胞瘤(Pilocytic astrocytoma,PA)的一种亚型,组织学特征为明显黏液样背景下的单一形态,双极肿瘤细胞围绕血管性排列;

发病年龄:

常见于2~3岁婴幼儿或青少年,成人偶见,平均发病年龄为18个月;

好发部位

典型发病部位是视交叉-下丘脑-第三脑室区域,病变部位与年龄有一定相关,年龄较大者发病部位多位于不典型位置;

疾病特征

特殊类型的毛细胞星形细胞瘤(PA,WHO Ⅱ级),较PA更具侵袭性,易复发、易发生脑脊液播散(约50%),预后较差;

组织学特点

单相性形态,由双极性的梭形细胞组成;黏液性背景,无PA中的致密区和疏松区双相性结构;肿瘤内血管明显增生,肿瘤细胞常围绕血管呈血管中心性排列,可为单层/细胞沿血管壁呈放射状形成假菊形团样结构;肿瘤内无Rosenthal纤维和嗜酸性颗粒小体;

治疗方式

手术全切,对放化疗不敏感;

影像学表现

钙化少见(<10%),出血较PA更多见(12~25%),瘤周水肿少见;

CT:多为低密度,其次为高低混杂密度(与瘤内出血有关)

MRI:表现多样,T1低/等/低高/低等混杂信号(高信号与粘液样基质/出血相关);T2高/混杂信号;FLAIR-T2WI均匀/不均匀高信号,少数为中心等信号,边缘高信号环;

增强扫描:环状/不均匀强化(约49%,与瘤内坏死、出血、变有关);均强化(约41%);少数不强化

DWI:低/高信号,ADC为高信号(与黏液样基质有关);

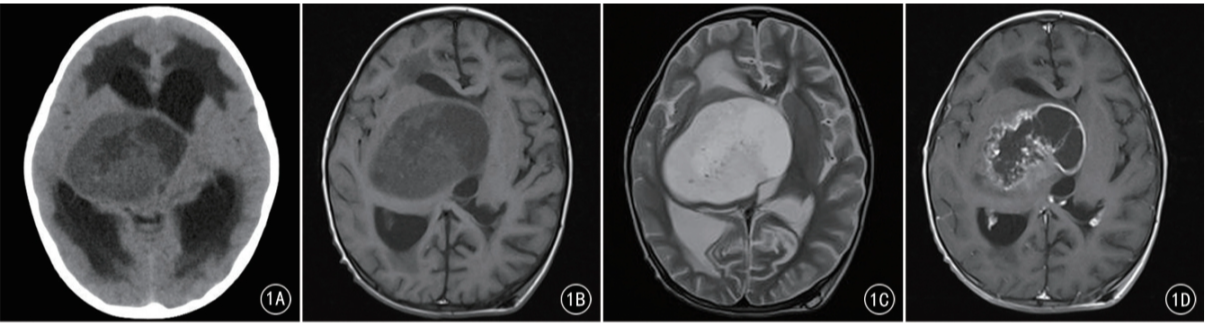
8b69de51e3791866c2f82907dfecac36.png

A.肿瘤在T1上呈低信号

B.肿瘤在T2上成均匀高信号,侵犯视交叉和视束

C.T2 FLAIR上成稍高信号,肿瘤侵犯丘脑和基底节区

D.增强后明显强化

E.肿瘤内血管明显增生,肿瘤细胞常围绕血管呈血管中心性排列

4d73fbf94bb490817626225a71f90e68.png

8f80f4c0f6d5f161b1167e37267540e3.png

女,38个月,视交叉-下丘脑-右侧基底节区PMA(WHO Ⅱ级) 

A.CT平扫示囊实性肿瘤,继发脑积水、间质性脑水肿,肿瘤实性部分为低密度

B.T1WI示肿瘤的实性部分为低信号

C.T2WI示肿瘤的实性部分为高信号,肿瘤边缘清楚,未见瘤周水肿

D.横断位增强扫描示肿瘤囊性部分的边缘早期即明显强化,呈“花环”样改变,囊变区较大且呈偏心性改变,而肿瘤的实性部分强化较弱,相对延缓

E.矢状位增强扫描后期示肿瘤囊性部分的边缘强化仍然明显,而肿瘤的实性部分呈渐进性强化,后期强化逐渐明显

F.组织学检查显示肿瘤组织基质黏液变明显,瘤细胞多为单极或双极细胞样围绕血管呈放射状排列或呈假菊形团样改变(HE × 200)

鉴别诊断
01
毛细胞星形细胞瘤

PA好发在小脑,以囊性肿块伴壁结节型为主,伴有瘤周水肿,而 PMA主要为实性或实性成分为主伴小囊性病灶,很少有瘤周水肿,且发生在小脑区的PMA,主要位于中线区域:小脑蚓部和扁桃体 ,与PA常见部位小脑半球不同。

病理特点:肿瘤细胞呈细长梭形,呈毛发样突起(特征性),由致密区和疏松区组成(双相分布);二者的比例决定了囊性与实性部分比例,导致影像学表现的多样性。

048722bdeb3e09cb23f31f830a8a8524.png

肿瘤组织由致密区及疏松区构成,其中可见Rosenthal纤维

02
颅咽管瘤

起源于Rathke囊的残余上皮细胞,可发生于颅咽管的任何部位,WHO Ⅰ级肿瘤;

肿瘤以完全囊性和部分囊性多见,尤其是儿童颅咽管瘤,实性成分强化不及PMA明显,CT上有蛋壳样钙化较有特征性,钙化尤其容易发生于儿童患者,可高达80%;破裂后可以出现种植;

03
生殖细胞瘤

生殖细胞瘤好发于儿童和青年,高峰年龄为10~20 岁,婴幼儿罕见,松果体区多见,鞍上区肿块常累及垂体柄,临床常表现为尿崩症;

多无出血、坏死、囊性变及钙化(松果体区生殖细胞瘤可包埋松果体钙化灶);

MRI表现为类圆形实质性肿块,增强扫描呈均匀显著强化,DWI肿瘤的实质部分呈高信号,有助于与PMA鉴别;

脑脊液种植转移,室管膜下转移:沿脑室壁线状/条片状强化;蛛网膜下腔播散:脑表面、脑池线状/结节状强化。

参考文献

2021 年第五版 WHO 中枢神经系统肿瘤分类 方三高1 , 陈真伟2 , 魏建国3

[2] Louis DN,Ohgaki H,Wiestler OD,et al. The 2007 WHO classification of tumours of the central nervous system[J]. Acta Neuropathol,2007,114(2):97-109. 

[3] Huang DJ,Sun SJ,Li Y. MRI features of pilomyxoid astrocytomas and pilocytic astrocytomas in hypothalamus/optic chiasma region [J]. Journal of Practical Radiology, 2015, (7):1078-1081.[黄丹江,孙胜军,李滢. 下丘脑/视交叉区 毛细胞黏液样型与毛细胞型星形细胞瘤的 MRI 征象对 比[J]. 实用放射学杂志,2015,(7):1078-1081.] 

[4] Ge PF,Wang HF,Qu LM,et al. Pilomyxoid astrocytoma in cerebellum[J]. Chin J Cancer Res,2011,23(3):242-244. 

[5] Fan WH,Du BL,Liang Y,et al. MRI Characteristics of pilomyxoid astrocytoma arising from sellar region in infant[J]. Journal of Clinical Radiology,2017,36(2):272-275.[范文辉, 杜柏林,梁奕,等. 婴幼儿鞍区毛细胞黏液样型星形细胞瘤 MRI 表现[J]. 临床放射学杂志,2017,36(2):272-275.] 

[6] Horger M,Vogel MN,Beschorner R,et al. T2 and DWI in pilocytic and pilomyxoid astrocytoma with pathologic correlation[J]. Can J Neurol Sci,2012,39(4):491-498. 

[7] Peng WS,Xu XS,Yang Y. MRI and pathologic characteristics of pilomyxoid astrocytoma [ J]. Journal of Medical Imaging,2015,25(11):1907-1910.[彭伟生,徐新申,杨毅. 毛细胞黏液样型星形细胞瘤的 MRI 及病理表现 [J]. 医 学影像学杂志,2015,25(11):1907-1910.] 

[8] Jia CH,Zhang ZJ,Ding QG,et al. Pilomyxoid Astrocytoma:Imaging Characteristics and Correlation with Clinical Pathology[J]. Chinese Journal of CT and MRI,2015, (9):33-35,50.[贾传海,张宗军,丁庆国,等.毛细胞粘液 样型星形细胞瘤的影像学表现与临床病理学对照(3例报道及文献复习)[J]. 中国 CT 和 MRI 杂志,2015,(9): 33-35,50.] 

[9] Li MR,Zhang ZY,Li YH,et al. MRI characteristics of pilomyxoid astrocytoma [J]. Chinese Journal of Radiology, 2014,(5):422-424.[李美蓉,张忠阳,李玉华,等. 儿童颅 内毛细胞黏液样星形细胞瘤的 MRI 表现 [J]. 中华放射学杂志,2014,(5):422-424.]

病例词典
*该内容更新时间至:2024-08-19 17:40:39
我也想发布
点击此处, 发布病例