返回列表

左股骨普通型骨肉瘤

肌骨系统
MR
CT
周镜明 提供
病例: DH2405010126
发布时间: 2024-05-01 12:49:17
分享至
病例信息
性别:男
年龄:44
主诉:左膝疼痛不适数月
病例描述
简要病史:患者数月前无明显诱因下感膝关节不适,无特定部位,未予重视。近月来感症状无明显好转。
体格检查:左下肢不肿,左股骨远端外侧可扪及肿块,直径约3cm。皮肤无破溃无红肿,病理征阴性。
实验室检查:红细胞平均容积 98.9fL↑(84.0-94.0);肌酸激酶 211U/L(<164);肾小球滤过率 88.82ml/min(>90)肿瘤标记物、凝血(-)
病例诊断结果
确诊时间:2024-05-01 12:49:36

2e5a477f23beddda4123442bc117417c.png

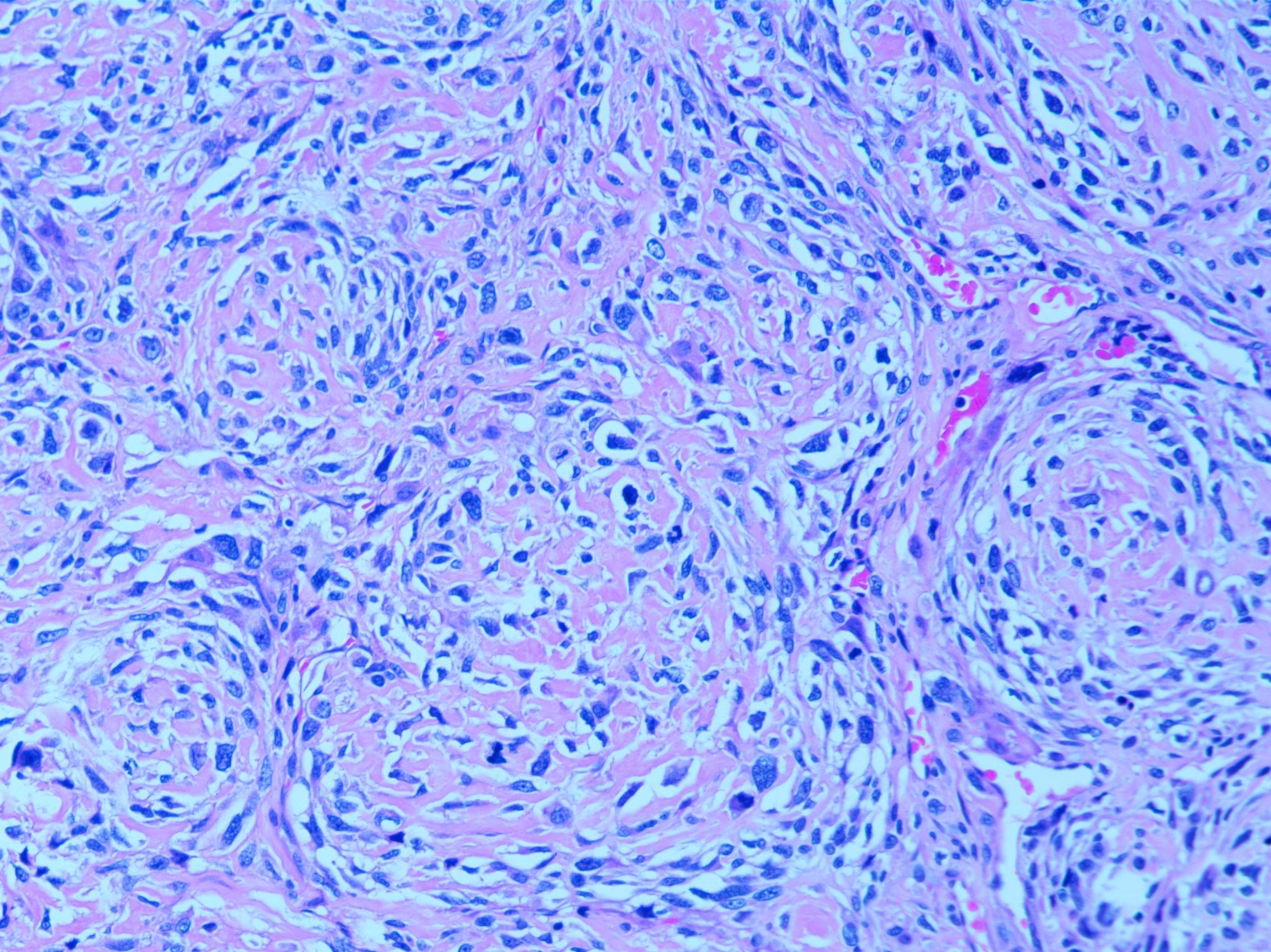
梭形细胞恶性肿瘤,可见肿瘤性成骨,结合活检免疫组化,考虑为普通型骨肉瘤,高级别,骨断端及四周切缘均阴性。

免疫组化结果:SMA +,Desmin -,MyoD1 胞浆+,Myogenin -,Ki-67 80%+,CD34 血管+,STAT6 胞浆+,S-100 -,SOX10 部分+,H3.3 G34W -,SATB2 +,H3K27Me3 未缺失,INI-1 未缺失,CD31 -,ERG -,Fli-1 -。


病例分析

39f532b8c4f381553cea8c065d2bccd1.png

病例词典
*该内容更新时间至:2024-05-01 12:49:36
我也想发布
点击此处, 发布病例