返回列表

左前臂滑膜肉瘤

肌骨系统
US
杨涛 提供
病例: DH2403270081
发布时间: 2024-04-29 00:26:58
分享至
病例信息
性别:男
年龄:38
主诉:发现左前臂肿物2年余,感增大伴疼痛2月。
病例描述
现病史:患者于2022年无意间发现左前臂肿物,约“小指”样大小,无痛,周围皮肤无红肿、破溃,指端无麻木,未予特殊处理。
病例诊断结果
确诊时间:2024-04-29 00:26:58

4abdca1bb742e708b9650ca8816137e5.jpg

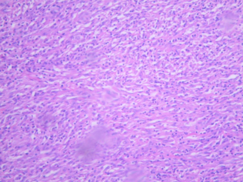
病理:< “左前臂肿物”>恶性肿瘤,结合HE及免疫组化结果,首先考虑滑膜肉瘤。


病例分析

超声检查左前臂下段近腕关节处肌层内可见一个肿块图像,深面达尺桡骨之间,大小约52×40×33mm,形状呈分叶状,边界尚清楚,内部为中等稍低回声,分布不均质,后方回声无变化,彩色多普勒显示:肿块周边及内部可见点条状血流信号。


超声提示:左前臂下段近腕关节处肌层内实质性占位病变,性质待查,请结合其他影像学检查。


病例词典
*该内容更新时间至:2024-04-29 00:26:58
我也想发布
点击此处, 发布病例