返回列表

双侧卵巢畸胎瘤

腹部(消化+泌尿+生殖)
CT
杨涛 提供
病例: DH2403240080
发布时间: 2024-03-25 12:42:19
分享至
病例信息
性别:女
年龄:26
主诉:发现盆腔包块1周
病例描述
患者月经规则,周期30天,5-6天净,量中,偶有经期腹痛,无需服用止痛药。月经量色同前。1周前自己扪及腹部包块,患者自觉偶有下腹胀,无异常阴道流血流液,无畏寒发热,无恶心呕吐等。
病例诊断结果
确诊时间:2024-03-25 12:42:19

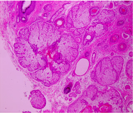
1.(右卵巢囊肿)卵巢成熟性囊性畸胎瘤; 

2.(左卵巢囊肿)卵巢未成熟性畸胎瘤(大小7*7*6cm,WHO分级:2级); 

3.(右输卵管系膜囊肿)副中肾管囊肿。

d646daf93fa8e473759562dd193b8e6d.png


病例分析
病例词典
*该内容更新时间至:2024-03-25 12:42:19
我也想发布
点击此处, 发布病例