返回列表

脉络丛乳头状瘤

中枢神经系统
MR
CT
超级管理员 提供
病例: DH2403240079
发布时间: 2024-03-28 14:52:11
分享至
病例信息
性别:男
年龄:23
主诉:行走不稳1年余
病例描述
1年余前患者出现双下肢无力,行走不稳,步伐较宽,左右摇晃,无视物模糊,无头晕头痛,无明显四肢麻木,无大小便障碍,一周前入院神经内科门诊行头颅磁共振检查提示“第三、四脑室占位,梗阻性脑积水,双侧侧脑室旁轻度间质性水肿”,现患者及家属为求进一步手术治疗,门诊以“颅内占位”收治入院。
患者病来,神清,精神可,饮食睡眠可,大小便正常,体重无明显变化。
病例诊断结果
确诊时间:2024-03-28 14:52:11

487e02d07d3f5684d2dc34b984d8aa6c.png

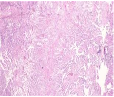
病理诊断: 

(4脑室占位)送检组织呈乳头状增生被覆立方柱状上皮,未见显著坏死及细胞异型,核分裂,符合脉络丛乳头状瘤。 

免疫组化染色结果: <第1次>E(4脑室占位常规):Ki-67(+,5%)、P53(野生型)、SMARCA4(未缺失)、GFAP(局灶+)、S-100(+ )、Vimentin(+)、CK20(-)、CK7(-)、EMA(-)、IDH 1(未突变)。 

<第2次>E(4脑室占位常规):SYN(+)。 

免疫组化染色结果: <第1次>E(4脑室占位常规):Ki-67(+,5%)、P53(野生型)、SMARCA4(未缺失)、GFAP(局灶+)、S-100(+ )、Vimentin(+)、CK20(-)、CK7(-)、EMA(-)、IDH 1(未突变)。

 <第2次>E(4脑室占位常规):SYN(+)。

病例分析
病例词典
*该内容更新时间至:2024-03-28 14:52:11
我也想发布
点击此处, 发布病例