返回列表

双肺转移瘤

胸部(胸部+乳腺)
CT
星帆 提供
病例: DH2402260078
发布时间: 2024-05-27 16:11:39
分享至
病例信息
性别:女
年龄:59
主诉:反复咳嗽一年半
病例描述

患者1年半前开始出现咳嗽咳痰,未予以治疗,后咳嗽症状逐渐加重,至当地医院行胸片检查发现“右肺占位”; 查体发现右侧锁骨上淋巴结肿大,当时频繁咳嗽,痰液不多,为白色泡沫痰。

病例诊断结果
确诊时间:2024-05-27 16:11:39

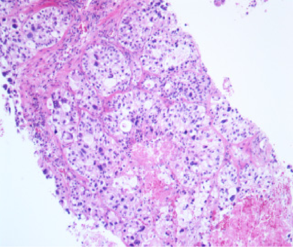
CT引导下肺占位穿刺标本

大体描述:肺占位穿刺标本:活检送检灰白组织2条,长0.7-1.3CM,直径0.1CM,全取。

14a6bd4ad9f0b5519c1ee941a3a49e41.png

病理诊断:(肺占位穿刺标本)腺癌。 

免疫组化染色结果:A:TTF-1(+)、NapsinA(+)、CK7(+)、ALK(-)、Ki67(+,10%)。

病例分析
病例词典
*该内容更新时间至:2024-05-27 16:11:39
我也想发布
点击此处, 发布病例