返回列表

肝细胞肝癌

腹部(消化+泌尿+生殖)
MR
超级管理员 提供
病例: DH2312250034
发布时间: 2023-12-26 12:14:25
分享至
病例信息
性别:男
年龄:85
主诉:5天前体检发现肝占位。
病例描述
5天前体检发现肝占位。
病例诊断结果
确诊时间:2023-12-26 12:14:25

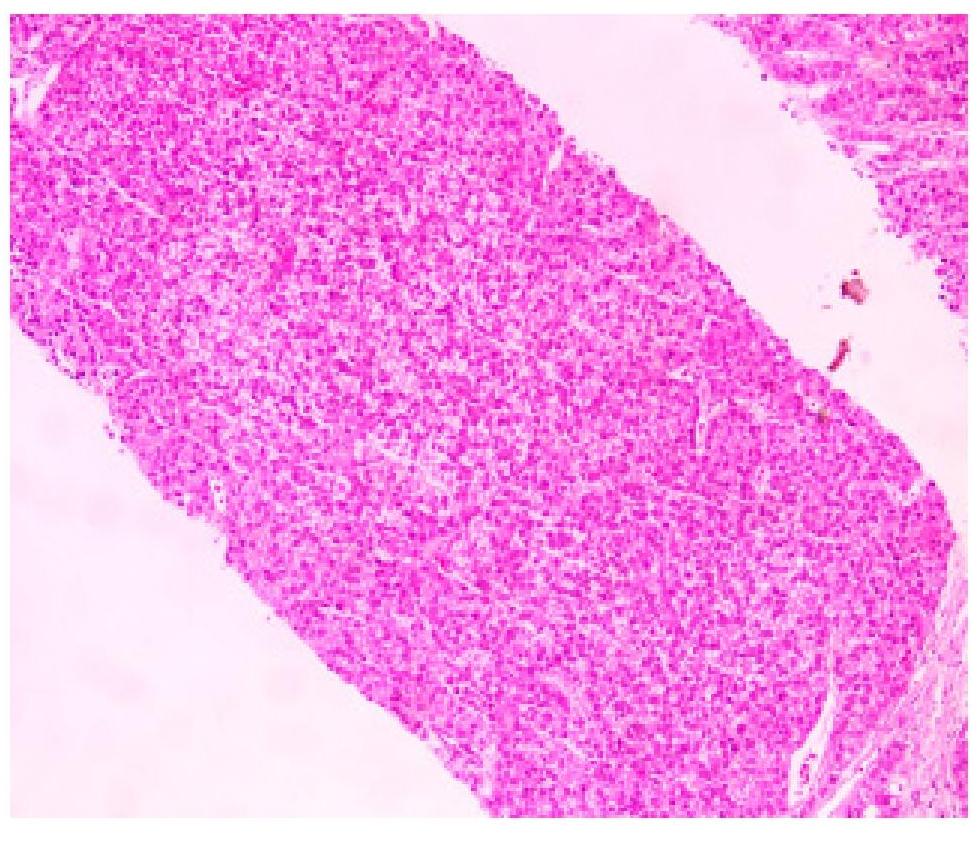
(肝穿刺活检标本)肝细胞肝癌。 

免疫组化染色结果:A:CK19(-)、CK8/18(+)、AFP(-)、CK7(+)、Ki67(+,15%)、CD10(- )、CD34(血管+)、P53(灶+)、CEA(-)、HepPar-1(+)。

20231225

病例分析
病例词典
*该内容更新时间至:2023-12-26 12:14:25
我也想发布
点击此处, 发布病例