早期识别,精准无创!提前预防脑中风有靓招
  • 佛山市南海区人民医院 李剑波
  • 发布时间: 2025-12-22 13:37:40

早期识别,精准无创!提前预防脑中风有靓招

 

 

 

“ 如发生以下情形,

你最先想到的是什么病呢?

 »»

 

5792664a363fa7a881872218389277e7.png 

 

没错,就是中风

 

人们常说的中风就是脑卒中,

缺血性脑卒中

占脑卒中总数的60%70%

是我国居民的首位死因

 

60c4894268557ffd5967fc10d99f491c.png 

 

因其具有

高发病率、高死亡率、高复发率

高致残率和高经济负担

的五高特征

现已成为国人

最为沉重的健康负担

 

188c418adbb78ab5248a2635f7a645a3.png 

 

 

1

引发脑中风的原因

 

1高危因素:年龄,高血压,高血脂,冠心病,糖尿病,肥胖,吸烟,酗酒等

a888cf39641c2db58a6ca91790806fea.png 

 

2主要原因:有研究证据表明,颅内动脉狭窄是中国人群缺血性卒中的主要原因,约占46.6%

 

而导致颅内动脉狭窄的病因包括:

动脉粥样硬化、烟雾病、动脉夹层、血管炎和可逆性脑血管收缩综合征。

4c4d79a6e45f92ffc1b7e7e5aa4a7359.png 

 

3)动脉粥样硬化的发展是一个很漫长的过程,主要分为以下几个阶段:

 

1)早期内膜增生和脂纹形成;

2)纤维化斑块;

3)不稳定斑块;

4)斑块破裂产生血栓,从而阻塞血管,影响供血。

 

由于前期的动脉粥样硬化一般不表现出临床症状,容易被忽视,但当产生的斑块严重阻塞或者完全阻塞血管时,就会诱发严重的心血管疾病,包括缺血性卒中、心肌梗塞以及外周血管疾病。而头颈动脉易损斑块破裂和脱落是缺血性脑卒中的主要致病原因

 

5e2eb1275eb836009078f1d0b9e7831e.png 

 

因此

早期识别脑动脉易损斑块

是预防脑卒中的关键!

 

3c0a4ca1622076c85170bafd4426d668.png 

 

既然血管内斑块这么危险,

那有没有一种医疗技术

能够在早期无创地检测和识别它们呢?

 

答案肯定是有的——

高清血管壁磁共振成像(HRVW-MRI

简称HRVWI

 

270f533afe7007b8b0856a251d89cd88.png 

 

HRVWI的检测水平有多高?

↓↓↓

举个例子

正常人指甲厚度是0.5~0.8mm

HRVWI能发现的最小斑块直径为0.25mm

是正常人手指甲厚度的一半!!!

 

2cac1d719798df523b2eddaeb5de5a5b.png 

 

2

HRVWI能干什么?

 

传统的彩超对于斑块易损特征的敏感度,特异度,分辨率都不理想。常规的头颈CTAMRA扫描只能提供血管腔狭窄程度的信息,对斑块的组织成分及炎症性改变相对弱势。

 

HRVWI不仅可以进行管腔成像,而且还能对血管壁结构及斑块成分进行鉴别。

 

目前HRVWI由二维成像发展为三维成像,大大提升了成像的扫描速度、覆盖范围和空间分辨率(达到0.5*0.5*0.5mm的各项同性数据,并内插到0.25mm),结合使用多参数多序列多方位扫描,能够精准识别动脉斑块的大小及其是否容易破裂和脱落,是目前评价斑块易损性的最佳无创性手段,具有广阔的临床应用前景。

 

a8e92058e1bb19a576bcd3f943b29dc7.png 

 

当然,发现细小的斑块及易损特征并不是HRVWI的唯一大招,它还能把其他导致脑卒中的病因如烟雾病、动脉夹层、血管炎和可逆性脑血管收缩综合征等识别出来,为缺血性脑卒中的预防、指导治疗及评估预后提供强大的保障

 

 

 

既然HRVWI如此神通广大,

那它是怎么在临床上发挥作用呢?

接下来请欣赏HRVWI技术的高清国产大片

↓↓↓

 

 

3

HRVWI技术展示

 

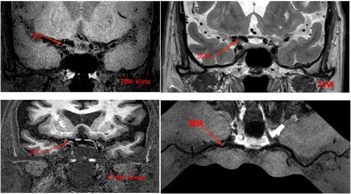
1招丨精准识别不稳定斑块

 

4df07320cb4936fc878ee04289f17171.png 

以上4图平扫的T1W-VISTAT2WT1W-3D-SNAP都发现大脑中动脉M1段的大小为1.2*1.5*2.8mm等低信号斑块。

 

6c7180e7ed935be81a1d0dac685b2bb3.pngf8d20e7e820aa9111b30f3e48b62d51c.png 

 

上图是打药后扫描的T1W-VISTA+C图像,斑块表现为轻度强化,综合考虑为不稳定斑块。这种情况需要慎重处理,斑块破裂和脱落风险比较大,建议经药物治疗后随访复查。

 

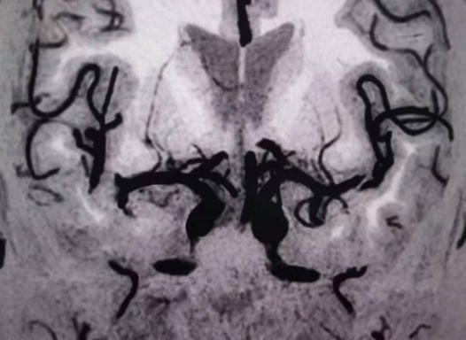
2招丨鉴别烟雾病起因

 

 4a3f949703afaff49bceeb50c8e42009.png6f8e0e6e18d899bde5dea1f66560ec8b.png

以上4图发现右侧颈内动脉和左侧颈内动脉末端,大脑中动脉M1M2段多发斑块形成并严重狭窄,颅内多发小血管生成,大脑后动脉代偿性增粗,并部分大脑前动脉交通,考虑为血管内斑块引起的烟雾综合征。

 

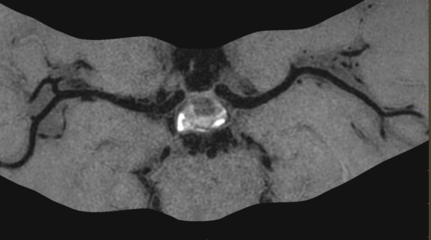
3招丨找出壁间血肿(动脉夹层)

 

ef67d9fa36dc94c9d4ac5fd611a15201.png 

1 TOF-MRA图可见颈内动脉内膜片影

2 CE-MRA图可见颈内动脉真假腔显示

 

266bdc3b78e99e1e45b42d871817ee31.png 

13D-T1-SPC图显示打药前颈内动脉C1C2段高亮的壁间血肿及管腔重度狭窄。

23D-T1-SPC图显示打药后血肿及相应节段血管壁都强化不明显。

 

4招丨发现血管炎性病变

 

c942acd936317f3ed8349105fac4e327.png 

左图T1W平扫见大脑中动脉M2段管壁增厚明显并呈等高信号,右图T1W增强后见管壁强化明显,提示该处有活动性炎症。

 

91afb25b92d13a6bf5254e21724c0d78.png 

3D曲面重建后更直观明确血管壁炎症的位置和情况。

 

5招丨急性脑卒中取栓后复查

 

a55b33f997efcf18951086c6ba4e8a94.pngead81dee0f51b5b9d653166e1b441326.png 

以上为急性脑卒中患者机械取栓后,HRVWI复查右侧大脑中动脉的图像,显示右侧大脑中动脉M1-3段管腔通畅,未见狭窄和血栓形成,取栓效果明显。

 

6招丨高危人群的健康(斑块)筛查

 

d8e1111fe9b857db9a5263342f3650d9.png75171507dca801d3d22214fa0a34ddd3.png 

 

4962a5d190b6d4070e46a59d830b7b26.pnge091ebb0ad3daa65bcf1e30a69dba791.png 

通过观察大脑深部穿支动脉如豆纹动脉、内囊动脉开口及管腔情况,可以早期预测发生腔隙性脑梗塞事件的风险。

 

 

 

缺血性脑卒中虽然危害极大

但是通过早期改变不健康的生活方式

积极主动地控制各种危险因素

可以达到不发生脑血管病

推迟发病年龄的目的

 

对于已经发生脑卒中的患者采取防治措施

利用HRVWI探寻具体病因

使治疗方案更具个体化针对性

以提高治疗效果和改善预后

 

e1de63a75d855f88c660ce800def9a94.png 

 

声明:本作品部分图片来源于网络,仅用于科普传播,如有侵权请联系作者删除。

 


相关作品推荐
0.088292s