肌骨系统 - 2017-05-24 22:44:21
骨髓疾病Marrow Disorders

正常骨髓由骨小梁(占比15%)和细胞成分(占比85% ,包含红细胞、白细胞、脂肪细胞和网状细胞)构成。

其中,造血细胞(即血细胞)组成红骨髓,其余无活性的骨髓则为黄骨髓。 

红骨髓的成分中,水分占40%、脂肪占40%、蛋白质占20%;黄骨髓中,脂肪占80%、水分占15%、蛋白质占5% 。 

出生时,人体几乎整个骨骼都为红骨髓。随后,红骨髓从外周向中心逐渐转变为黄骨髓,成人骨髓分布稳定一般在25岁左右。

在成人中,红骨髓主要分布于中轴骨骼(头骨、脊柱、骨盆、肋骨、胸骨)以及肱骨和股骨近端。 

在MRI影像中,正常骨髓在T1和T2序列上呈现可预测的特征。黄骨髓在T1序列上信号与皮下脂肪类似,T2序列上呈低信号;红骨髓在T1序列信号低于脂肪,T2序列信号接近脂肪(呈高信号),且在STIR序列上,红骨髓信号比T2序列更高。

243ce74d43331f01eacdb455dfafedfc.gif

图-1骨髓模式。骨盆、膝关节、肩关节和脊柱T1WI像。在成人中,骨盆的骨髓主要为脂肪性骨髓,除了髋臼区(箭头)有小面积的红骨髓。年长成人膝关节也有高信号的脂肪性骨髓。20岁患者肩关节骨骺高信号脂肪性骨髓,肱骨骨干和肩胛盂中有红骨髓。脊柱显示主要为黄骨髓,但由于多发转移,存在低信号区。

骨髓逆转化
  • 造血需求可能导致黄骨髓转化为红骨髓。

  • 红骨髓逆转换顺序与成人骨髓形成过程中红骨髓向黄骨髓转化顺序相反。

  • 再转化始于中轴骨骼,并向外周扩展。

  • 骨髓再转化是对称的,但不一定是均匀的。

  • 没有骨髓疾病的患者可能会出现红骨髓扩大,称为“骨髓增生”。

  • 骨髓再转化或增生可能是由多种情况引起的:慢性贫血、慢性感染、骨髓替代性疾病、紫绀性心脏病、马拉松跑步、吸烟。

  • 红骨髓再转化的影像学最好MRI检查。信号变化可能难以与浸润性疾病区分。T1显示信号降低区。T2和STIR显示信号高于脂肪。

054fa6c227b9d394856ffc42110206ba.gif

图-2长跑运动员的骨髓增生。冠状位(A)和矢状位(B)的T1像显示股骨骨干和干骺端骨髓呈低信号,伴有胫骨处局灶性增生区。皮质骨正常,且无软组织异常。

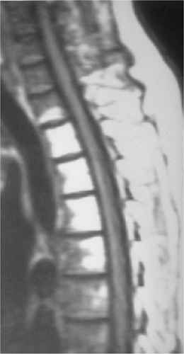
216718822b96022a4a447737fa799c40.jpeg

20岁的大学生运动员在赛季开始前增加训练后出现右肩疼痛。骨髓信号最可能的原因是骨髓逆转换

骨髓耗竭

在髓系耗竭的患者中,造血(红)骨髓被脂肪(黄)骨髓所替代。

脂肪替代可能是弥漫性的或局灶性的,这取决于该过程程度和持续时间。

导致髓系耗竭的疾病包括:再生障碍性贫血、化疗、放射治疗、骨髓毒素、病毒感染放射治疗引起的改变是局灶性的,因此脂肪替代发生在接受治疗区。改变可能最早在3到7周内出现。在低剂量下,可能会有恢复。接受超过50Gy剂量的患者通常会发生不可逆变化。

脂肪性骨髓在T1和T2序列上呈现脂肪信号。

9e5a208ed129c1fe971350d197fcfb2c.gif

图-3放射治疗。轴位T1像显示一个恶性软组织肿块,股骨内为脂肪性骨髓。与对侧股骨内正常的低信号红骨髓进行比较。

ee9f4e632e55619b52cdb7659aafc55c.gif

图-4T1像显示上胸椎因放射治疗而出现的脂肪性骨髓改变。

骨髓缺血
  • 骨髓缺血性改变通常为局灶性导致骨髓缺血和骨坏死的原因多种多样,包括:创伤、外源性糖皮质激素、系统性疾病、戈谢病、镰状细胞贫血、特发性。

  • 局灶性改变最常发生在髋关节、膝关节和肩关节。

  • 缺血性坏死发生在软骨下骨骺,而骨梗死发生在干骺端和骨干。

  • 在晚期病例中,影像学改变可能在X光片上明显。MRI是早期缺血性改变的首选影像技术。增强有助于评估血流的细微变化。

ffbc877f785f656b01216fb6a85c3f13.png

图-5髋关节缺血性坏死。T1像显示缺血性坏死,左侧更为严重。

816fffc5d8097e533c37f9acac40b5e5.png

图-6骨梗死。双膝站立位X光片显示双膝典型骨梗死的蛇行状边缘钙化。T1WI显示了梗死区和软骨下缺血性坏死。

骨髓浸润:基本概念
  • 有许多骨髓浸润性病变,包括炎症性疾病、肿瘤性病变(转移瘤、骨髓瘤)、脂质沉积症、组织细胞增生症以及高脂蛋白血症。

  • 常规X光片可能显示骨髓扩张、溶骨性病变、硬化性病变、混合性溶骨和硬化改变。

  • MRI:在大多数情况下在T1显示低信号,在T2或STIR显示高信号。增强表现各异且无特异性。

  • 浸润性骨髓病变:

肿瘤:骨髓瘤、白血病、淋巴瘤、骨髓纤维化。

脂质沉积症:戈谢病、尼曼-皮克病、法布里病、神经节苷脂沉积病。

组织细胞增生症:朗格汉斯细胞组织细胞增生症、ErdheimChester病。

高脂蛋白血症。

骨髓浸润:脂质沉积
  • 存在多种脂质沉积症。更常见的疾病列于表12-1。

  • 戈谢病是一种罕见的家族性脑苷脂代谢紊乱,导致脂质在网状内皮细胞中积累。该病影响儿童或年轻成年的男性和女性。患者表现为肝脾肿大。其他区域包括骨髓也会发生浸润。X光片显示骨髓扩张、骨内膜扇贝样侵蚀、骨坏死和病理性骨折。变化最常发生在中轴骨骼和长骨近端。MRI因纤维化和葡萄糖脑苷脂沉积而显示T1和T2信号降低。

  • 尼曼-皮克病是一种罕见的遗传性疾病,表现为网状内皮系统中鞘磷脂的沉积。男性和女性受累程度相当,许多患者为犹太人。存在急性致命型和有无中枢神经系统受累的慢性型。大多数患者在婴儿期出现黄疸和肝脾肿大。X光特征与戈谢病相似。

  • 法布里病是一种遗传性性连锁疾病,表现为神经酰胺三己糖苷沉积。患者表现为皮肤病变、发热、疼痛和感觉异常。患者可能因肾脏或心脏受累而在成年后期死亡。X线特征包括关节周围肿胀和缺血性坏死。

  • 神经节苷脂沉积症是一种由缺乏神经节苷脂β-半乳糖苷酶引起的遗传性脂质贮积病。神经节苷脂在神经系统和其他组织中积累。临床特征包括智力迟钝、视网膜上的樱桃红斑、肝脏肿大和骨骼异常。X光特征包括骨质疏松、骨骼成熟延迟、颅骨增厚、水平肋骨、椎体扁平、髂骨外翻和长骨变薄细长。

93e41b2c0cd00b407e9dbe829c33eb23.png

图-7戈谢病。MR显示双膝和脊柱骨髓内呈T1低信号。

朗格汉斯细胞组织细胞增多症
  • 朗格汉斯细胞组织细胞增生症(组织细胞增生症X)包括三种情况:①嗜酸性肉芽肿,Hand-Schüller-Christian病,Letterer-Siwe病。所有这些疾病共同点是存在含有胞质包涵体的朗格汉斯细胞。

  • 嗜酸性肉芽肿是表现最轻的一种,表现为单个或多个骨骼病变。这种病变占所有病例的70%。患者表现为疼痛、肿胀,偶尔伴有发热和白细胞计数升高。X光特征包括溶骨性病变,伴有内膜扇贝样侵蚀和骨膜反应。最常受累的部位是颅骨、下颌骨、肋骨、脊柱和长骨。椎体受累会导致明显的压缩。鉴别诊断包括骨髓炎、尤文肉瘤和淋巴瘤。

  • Hand-Schüller-Christian病表现为尿崩症、眼球突出和单个或多个骨骼病变。这种病在儿童中最为常见。多系统受累包括中耳炎、皮肤病变、肝脾肿大和贫血。神经系统、肺部和肾脏受累较为常见。骨骼病变与嗜酸性肉芽肿相似,但更为广泛。该病在高达30%的病例中是致命的。

  • Letterer-Siwe病是一种常见于3岁以下儿童的急性疾病。多系统受累(肝脏、脾脏、皮肤、贫血)是典型的。大多数患者只能存活1~2年。X光多发溶骨性病变,最常累及颅骨。

  • Erdheim-Chester病是一种成人疾病(男性和女性都有)。由于细胞释放胆固醇,心脏和肺部受累较为常见。X光特征包括长骨硬化和明显的骨小梁,而中轴骨骼不受累。双侧对称受累较为常见。组织学改变类似于Hand-Schüller-Christian病。

a8b6860d311652176283f3b390b744ca.png

图-8嗜酸性肉芽肿。(A)股骨的前后位X光片显示一个溶骨性病变,伴有骨内膜扇贝样侵蚀和骨膜反应。脊柱的前后位(B)和侧位(C)X光片显示T6椎体明显的压缩(扁平椎)。

8fab3f42a36ed0ba9f8bae1f62c276ab.jpg

图-9Erdheim-Chester病。放射性核素骨扫描显示双侧股骨和胫骨的示踪剂摄取增加。胫骨的前后位(B、C)和侧位(D、E)X光片显示硬化区,骨小梁明显增粗。

高脂蛋白血症
  • 高脂蛋白血症表现为血浆胆固醇和甘油三酯水平升高。五种类型。

  • Ⅰ型:脂蛋白脂肪酶缺乏症。患者年龄在10到30岁之间,表现为视网膜脂血症、肝脾肿大、腹痛和胰腺炎。

  • Ⅱ型:最常见的类型,表现为低密度脂蛋白和β脂蛋白水平升高。患者在儿童早期出现黄色瘤和早发性血管疾病。

  • Ⅲ型:β脂蛋白或前β脂蛋白异常。患者表现为黄色瘤和早发性血管疾病。

  • Ⅳ型:低密度脂蛋白和前β脂蛋白升高。可能继发于糖尿病、胰腺炎、酗酒、戈谢病等。患者在20岁以后出现黄色瘤、痛风和冠状动脉疾病。

  • Ⅴ型:与Ⅳ型类似,但伴有肝脾肿大和感觉异常。

  • 影像学特征包括:骨黄色瘤、软组织黄色瘤、痛风、关节周围软组织肿胀。

2ff728fd1efe9dbf84a9dc73c3b14e3a.png

图-10骨黄色瘤(Ⅳ型高脂蛋白血症)。(A、B)X光片显示股骨远端有一个边界不清溶骨性病变(箭头)。冠状位T1(C)和矢状位T2(D)显示一个边界不清病变,T1(C)上呈现脂肪信号,在T2(D)上呈现高信号区。

骨髓纤维化
  • 骨髓纤维化是一种较少见的疾病,会导致骨髓被纤维组织替代以及髓外造血。

  • 患者通常为中年或老年人,表现为疲劳、肝脾肿大和紫癜。

  • 继发性痛风的发生率为5%到20%。

  • 影像学特征包括骨硬化和脾肿大。

  • MRI表现在T1和T2序列上显示低信号。

  • 鉴别诊断包括Paget病和转移瘤。

80390c30023905a3a790841455d25218.png

图-11骨髓纤维化。(A)胸部X光片显示骨密度增加和明显脾肿大。(B)骨盆X光片显示散在的骨硬化。腰椎前后位(C)和侧位(D)X光片显示骨密度增加。

908f8e2204e85c218c67070fbae696ae.png

图-12骨髓纤维化。股骨的T1像显示低信号度,除了远端。

压缩性骨折:良性vs恶性
  • 椎体压缩性骨折很常见,尤其在老年女性中。

  • 对创伤或骨质疏松引起的压缩性骨折与转移瘤或骨髓瘤通过常规影像学检查(X光片、放射性核素扫描)鉴别可能较为困难。

  • MRI在鉴别由骨质疏松或创伤引起的压缩性骨折与恶性肿瘤方面更有用。

  • 提示恶性的MRI特征包括:多个椎体出现局灶性信号异常、椎体及后部结构弥漫性信号异常、硬膜外肿块、T1椎体后缘凸起。

  • 良性的MRI特征包括:正常骨髓信号保留、骨髓T2等信号、单个椎体受累。

  • DWI可能最具特异性:在骨质疏松性压缩性骨折中,信号会减弱;而在恶性病变,信号会增强。动态增强也可能比常规MRI更容易显示病理性骨髓。

7a1720be8baf1259e6575c4ff03a3773.png

图-13  75岁男性因使用糖皮质激素导致的骨质疏松。(A)矢状位T2显示椎体压缩,信号减低和增高混合。(B)SE-DWI显示一个高信号区(箭头),这是由肺部转移引起的。

fba59273f7a0d4393edd5a753f4207d2.png

(A) 六个月前,胸椎矢状位 T2 加权 MRI 显示 T9 和 T12 急性压缩性骨折。

(B) 椎体后凸成形术后,腰椎矢状位 T2 MRI 显示 T8 、 T10 和 T11 处急性压缩性骨折,T9和 T12 处有明显的骨折线。

78d7497994d97e7d84a7cea36831d930.png

(A) 脊柱矢状脂肪抑制增强 T2 MRI 显示 T8、9、10 脊柱炎伴左侧椎旁和前韧带下脓肿(箭头)以及 T8 至 L5 的压缩性骨折。

(B) 腰椎和左股骨骨密度低,表明“骨质疏松症”。

精选文章
更多精选文章
0.091449s