胸部 - 2024-09-06 22:13:48
运动诱导性肺出血,您见过吗?

Exercise-induced pulmonary haemorrhage

Authors:Marab Bashir 

DOI:10.35100/eurorad/case.18680

患者35岁男性,在参加铁人三项赛后出现了严重的呼吸困难,氧饱和度80%,并伴有咯血和喘息症状。在骑行阶段出现了恶心和呕吐,并在马拉松赛程的最后20公里因体力不支而改为步行。

值得注意的是,该患者在三周前曾经历了一次轻度的COVID-19感染。

由于严重的呼吸窘迫,他已被紧急转入重症监护室接受治疗。

鉴别诊断:肺栓塞、心源性肺水肿、肺炎、运动诱发性肺出血 (EIPH)、急性呼吸窘迫综合征 (ARDS)。

6e48014ee809241c64d7de5a12b7b8e3.jpg

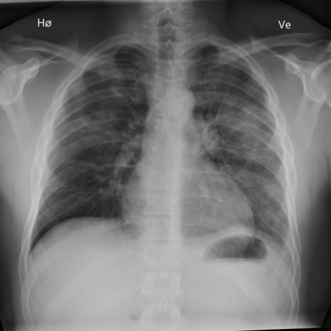
初次胸部 X 光检查显示双侧弥漫性肺泡浸润病变,提示肺炎。

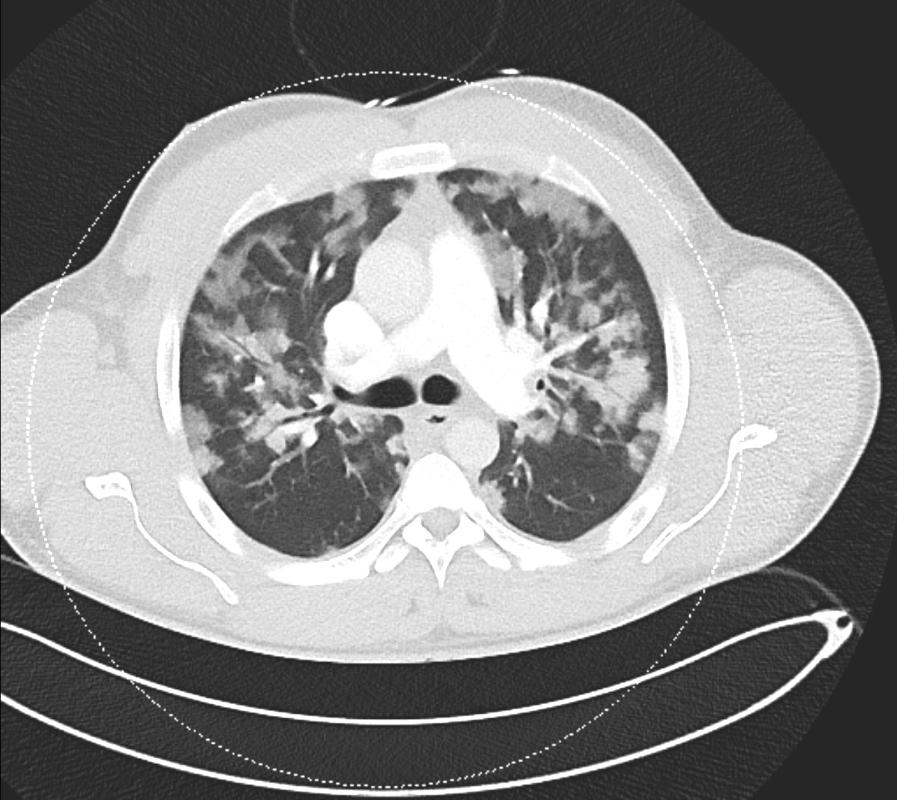
CT扫描排除了肺栓塞,但显示出心脏增大,右心室扩张,表明存在肺阻力。肺部所有叶段均表现出弥漫性浸润性病变,与肺水肿和潜在感染一致。磨玻璃样影进展到实变提示肺泡损伤和微出血,增加了急性呼吸窘迫综合征(ARDS)的可能性。

7e08d58355fd7bb649ffce539800f4c6.jpg

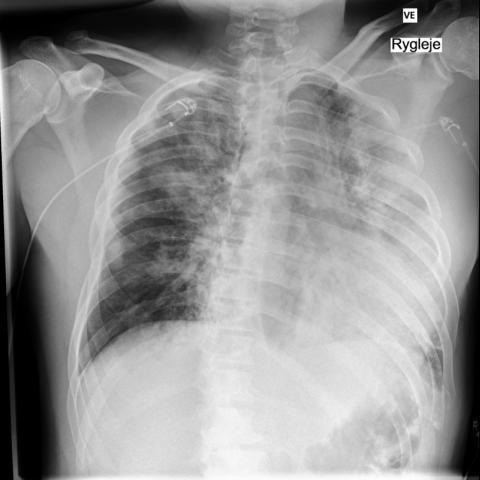
第 2 天复查胸部 X 光检查显示左肺和右上叶有明显进展的实变浸润,进一步支持弥漫性肺泡损伤和微出血的诊断,并怀疑存在 ARDS。

cf9b4ca9e7c128d63b01523251d5c277.jpg

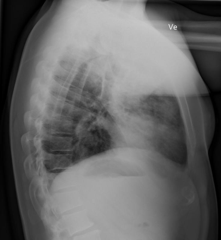
第 4 天复查,胸部 X 光显示肺部浸润明显减轻,与患者的临床恢复相对应。

a3f6c6ffd644b4c8867e8fd4e504a774.jpgb64d8400c5432c5926b5570a04335d02.jpg

经过 6 天的住院,患者恢复出院。

所有影像检查有效地记录了患者从严重肺窘迫到逐渐恢复的过程。


相关拓展

运动诱导性肺出血(EIPH)是指在剧烈运动过程中肺毛细血管破裂,导致肺出血。这种情况在纯种马中有很多记录,赛后支气管镜检查显示约70%的病例中气道内可见血液,而且由于肺血管压力过高,所有接受训练的马匹在气管冲洗液中均显示出含铁血黄素的巨噬细胞。

尽管EIPH在人体中很少见,但在精英运动员、军事训练者以及接受最大有氧运动的久坐人群中观察到了类似情况。对其发病机制了解甚少,但有假说认为,这种现象是由于人体肺毛细血管为进行有效的气体交换而处于低压状态,在运动过程中,肺毛细血管的静水压大幅增加,破坏血气屏障,导致血管渗漏。

EIPH 的诊断具有挑战性,因为其罕见性和排他性诊断。在人类中,它表现为咯血,尽管不常见,但可能表明在剧烈运动期间存在严重的肺部压力,或在剧烈运动期间或之后出现突然严重的呼吸困难。全面的病史、体检和影像学检查至关重要。临床医生必须排除其他危及生命的疾病。

影像学检查,包括胸部X光和CT胸部扫描,在鉴别诊断过程中具有重要意义。

典型表现为双侧磨玻璃样影和支气管周围带状阴影,胸部 X 光片上没有心脏增大。增强CT胸部扫描对进一步评估非常有用,尤其是排除肺栓塞。

CT 表现通常显示全小叶磨玻璃样密度影和小叶间隔及支气管壁的弥漫性增厚,同样没有心脏增大或胸腔积液。

运动诱导性肺出血(EIPH) 的最终诊断是基于临床表现、影像学表现,并排除其他原因后得到的。

EIPH的治疗选择主要是支持性的,侧重于氧气治疗和休息。

预后通常良好,大多数患者能够迅速恢复而没有长期并发症。

Keypoint
  • 运动诱发的肺出血是一种罕见但重要的与运动相关的疾病,对于表现为咯血和/或呼吸困难的年轻、其他方面健康的个体,应考虑该病。

  • 全面评估和影像学检查对准确诊断和有效管理至关重要。

精选文章
更多精选文章
0.091320s